
Våra Case
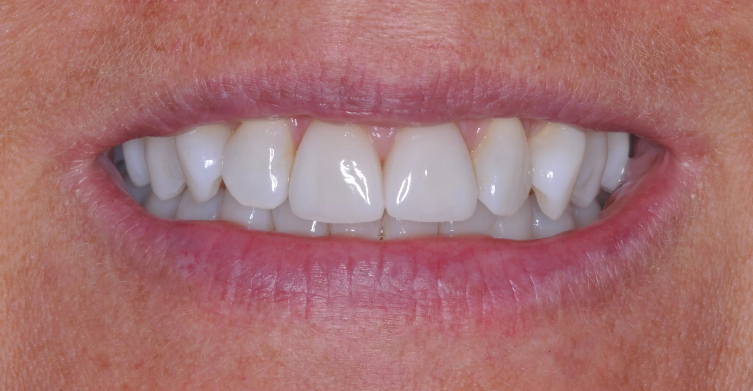
Kvinna, 33 år.
33-årig kvinna med missprydande plastfyllningar på framtänderna. Behandlad med blekning och två porslinsfasader.
Före behandling
Efter behandling
11 år efter behandling
Före
〰️
Efter
〰️
Före 〰️ Efter 〰️
Kvinna, 42 år.
42-årig kvinna med kraftigt nedslitna tänder. Hennes önskemål var att få ett naturligt leende så vi byggde upp bettet med 23 porslinskronor.
Före behandling
Efter behandling
Före
〰️
Efter
〰️
Före 〰️ Efter 〰️
Kvinna, 23 år.
23-årig kvinna som ville jämna ut framtänderna med porslinsfasader. Vi gjorde fyra fasader på framtänderna.
Före behandling
Efter behandling
15 år efter behandling
Före
〰️
Efter
〰️
Före 〰️ Efter 〰️
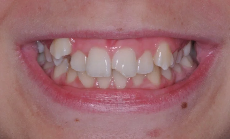
Flicka, 12 år.
12-årig flicka som slagit av sin ena framtand. Tanden är lagad med en plastfyllning.
Före behandling
Efter behandling
Före
〰️
Efter
〰️
Före 〰️ Efter 〰️
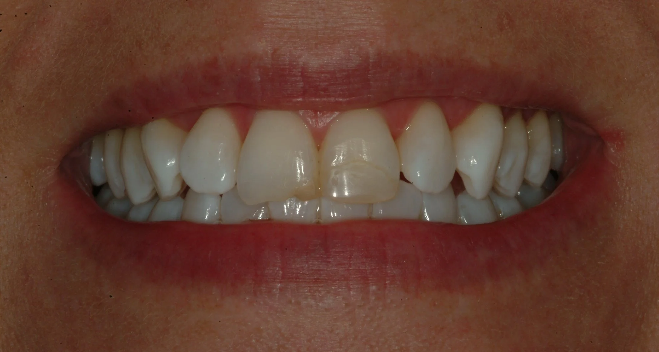
Kvinna, 40 år.
40-årig kvinna som inte var nöjd med utseendet på sina framtänder. Blekning, en porslinsfasad och byte av en plastfyllning.
Före behandling
Efter behandling
Före
〰️
Efter
〰️
Före 〰️ Efter 〰️
Kvinna, 53 år.
53-årig kvinna med slitna tänder. Hennes önskemål var att återställa tänderna till ursprunglig form samt att få riktigt ljusa tänder. Det löste vi med 24 porslinskronor.
Före behandling
Efter behandling
